

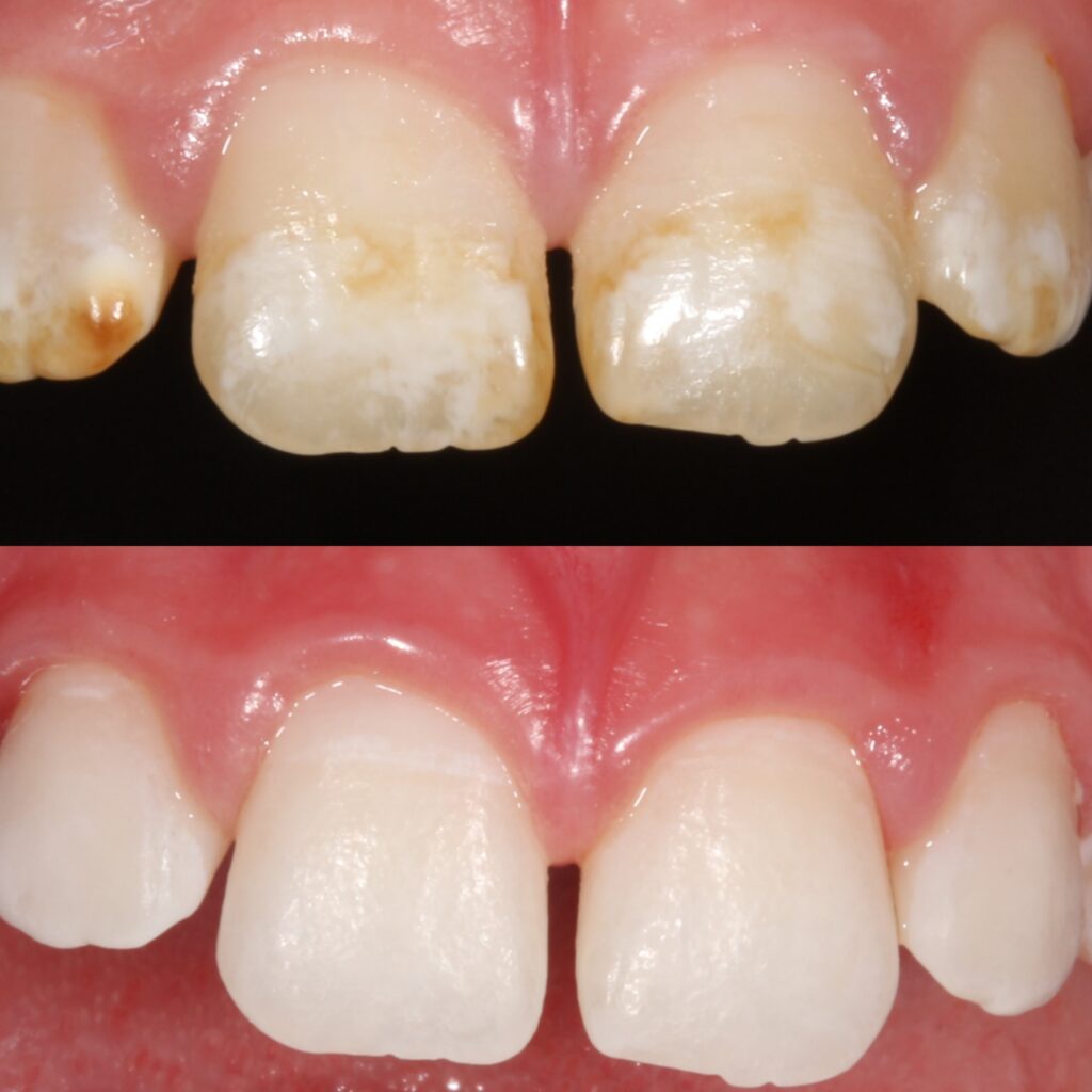
1 in 8 people suffer from discolouration on their teeth. These discolourations can be caused due to over 100 different reasons and can appear at any point during a patient’s life. The revolutionary ICON treatment can help remove small white and brown deposits on teeth and correct the appearance of a mottled smile, helping create a uniform smile while restoring lost confidence.
Book a consultationICON works by using a gel to remove any superficial porosities on the tooth. A resin is then used to infiltrate the teeth sealing up the porosities and preventing future discolouration’s. ICON works without drilling and injections and has no age limit.
We are very fortunate to have Dr Kiran Shankla provide this highly skilled and minimally invasive treatment. Dr Shankla has lectured nationally and internationally to dentists on the use of ICON and is a brand ambassador for the company. She has completed countless cases and has changed the lives of many patients.
Book a consultationICON treatment is a gentle, minimally invasive way to remove small white and brown spots from your teeth. It’s perfect for correcting a “mottled” smile caused by factors like early decay, fluorosis, or braces. It works without any drilling or injections, preserving the natural structure of your teeth! The treatment involves a special resin that infiltrates the porous areas of the tooth, making the spots blend in seamlessly with your natural enamel.
The cost of ICON treatment starts from around £350.00 per tooth If you book a consultation with us, we can assess the specific needs of your teeth and let you know the exact cost for your treatment.
ICON treatment is considered a long-lasting solution, with results that can be enjoyed for several years. While not considered permanent, results can last anywhere from 2 to 6 years or even longer. With good oral hygiene and regular dental check-ups, you can help maintain your beautiful smile for many years to come.
ICON treatment is generally considered very safe with minimal side effects. Some patients may experience a little temporary tooth sensitivity to hot or cold after the procedure, but this is typically mild and short-lived. Since it doesn’t involve drilling or injections, it’s a very comfortable and low-risk procedure.
No, ICON treatment is not painful! In fact, it’s a completely non-invasive procedure that doesn't require any drilling or injections. Most patients report feeling no discomfort during the treatment and can enjoy their new smile right away.
Anyone who is bothered by the appearance of white or brown spots on their teeth and is looking for a gentle, non-invasive solution may be a good candidate. It's an excellent option for patients who want to improve their smile without committing to more involved cosmetic procedures like veneers. At a consultation with us, we can assess the size and depth of the spots to determine if ICON is the right choice for you.
We are happy to help answer your questions or discuss your treatment options - please get in touch.